日本すごい 脳萎縮する

前頭前野活性化 前頭前野萎縮が回復する革命的方法 瞬時に前頭前野を鍛える人生最高の決定的脳内体感 前頭前野を鍛える ストレス前頭前野萎縮改善 2021年11月17日 2022年5月29日 東京 大阪 前頭前野鍛える 超活性化 東京都 こくちーずプロ

地頭 は伸ばせる 大人になっても脳を成長させる方法 Nikkei Style Goo ニュース

記憶力をアップする方法5選 音楽 食べ物 ゲームを活用しよう Study Hacker これからの学びを考える 勉強法のハッキングメディア

脳科学ブログ 教育への架橋

テレビ日経おとなのoff Bsテレ東

脳の中にある 物まね神経 のすごい働き Nikkei Style

224人の子の脳 3年追って見えたスマホの脅威 リーダーシップ 教養 資格 スキル 東洋経済オンライン 社会をよくする経済ニュース

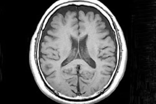
たまたま見つけた脳萎縮の進行から 色々なことを想像する 鹿児島認知症ブログ

脳萎縮が招く認知症 その症状と予防法を医師に聞いた マイナビニュース

記憶力日本一 の男の記憶術 3サイクル反復速習法 1分間ライティング がシンプルだけどすごい Study Hacker これからの学びを考える 勉強法のハッキングメディア
うつ病 顔つき